热门搜索:割双眼皮隆鼻开眼角整形医院
美,从来都是没有标准的,美是自然的,在高计堂的眼中,不同面孔,不同形体,都渗透着个性美。...[详情]
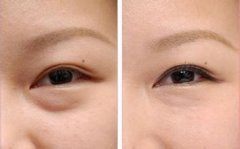
眼睛是给人印象深刻的部位, 第一眼最容易受到关注的部位,而眼袋却像个小包袱挂在下眼睑上,十足的累赘感,影响形象 。同时眼袋是让人最显老的标志之一,一旦出现眼袋,看...[详情]
王春燕医生紫洁医美技术院长、亚洲眼部整形基地中国区代表,热衷于眼面部整形,数十年的技术磨炼,专注一个领域的恒心,对美的极致追求,在自己擅长的领域里深耕细作,不懈地...[详情]
眼袋是皮肤和肌肉组织老化的表现,松弛的皮肤肌肉组织在眶内脂肪堆积的压力下在下睑形成袋装突出就形成眼袋畸形。有些年轻患者虽然皮肤肌肉组织未发生明显松弛,但是眶内脂肪...[详情]
颜值时代的到来,让人们对于医美微整的态度早已不像从前那样不屑,“爱美之心人皆有之”,即便不想以科技之力改头换面成为绝色佳人,凭借医学力量保持年轻态却是许多人所...[详情]
张金娥院长所创作的眼眸艺术是将自己对生命的体验与女性柔情风格审美融为一体,以写实主义色彩显现的方式去阐释雕塑的眼部生命力和作为美眼新文化的源头重启。她将西方古典主...[详情]
眼袋的祛除是每一个年纪大的爱美女性都会考虑到的,因为眼袋的生长会让眼部看起来无精打采,还会让你的年纪立刻现行,但对于祛眼袋手术失败的修复,必须针对不同的失败情形进...[详情]
玻尿酸去眼袋纹应该注意什么 ?眼袋的出现严重的影响了我们的面部精神状态,还会暴露我们的实际年龄,要想在任何时候都能拥有一个保密的年龄就一定要尽快去除眼袋,但是很多求...[详情]
整形动态
求美者口碑相传:“想整形就去北
鼻整形技艺人 宫国华 鼻翼缩小
蓝山品牌创始人杜建龙院长出席美
宋仁刚博士后当选“中国中西医结
做整形为什么非要你来医院面诊
如何判断整形做完是否成功呢
整形咨询
沃尔刘彦军:一个整形医生鼻整形
什么原因导致拇外翻呢
大脚骨的主要症状有哪些呢
大脚骨的具体危害有哪些
怎么选择正规的整形美容医院呢